مدولوبلاستوما (Medulloblastoma) یک تومور مغزی سرطانی (بدخیم) است که از مخچه ، یعنی بخش پشتی و پایینی مغز که مسئول هماهنگی عضلات، تعادل و حرکت است، سرچشمه میگیرد. این نوع سرطان با رشد سلولهای غیرطبیعی که به سرعت تکثیر میشوند، آغاز میگردد. به دلیل ماهیت تهاجمی آن، تومور مدولوبلاستوما میتواند به سرعت رشد کرده، باعث ایجاد فشار در داخل جمجمه شود و تمایل دارد از طریق مایع مغزی-نخاعی (Cerebrospinal Fluid – CSF) — مایع محافظ اطراف مغز و نخاع به سایر بخشهای سیستم عصبی مرکزی (CNS) گسترش یابد. این تومور به ندرت به سایر نقاط بدن متاستاز میدهد.
اگرچه مدولوبلاستوما در هر سنی ممکن است رخ دهد، اما اغلب در کودکان خردسال تشخیص داده میشود و شایعترین تومور مغزی سرطانی در این گروه سنی است. در بزرگسالان، معمولاً بین سنین ۲۰ تا ۴۵ سالگی تشخیص داده میشود. در کل نادر است و شیوع آن در انکولوژی کودکان آن را به یک نگرانی مهم تبدیل کرده است.
علائم و نشانههای مدولوبلاستوما اغلب به دلیل رشد تومور و افزایش فشار داخل جمجمه ایجاد میشوند. علائم بسته به اندازه و محل تومور میتوانند متفاوت باشند اما معمولاً شامل موارد زیر هستند:
سردرد: اغلب مداوم بوده و صبحها شدیدتر است.
تهوع و استفراغ: میتواند شدید باشد، به خصوص هنگام بیدار شدن از خواب.
مشکلات تعادل و هماهنگی: مانند راه رفتن نامتعادل (آتاکسی)، دستوپاچلفتی بودن یا هماهنگی ضعیف.
سرگیجه: احساس عدم تعادل یا سبکی سر.
تغییرات بینایی: از جمله دوبینی.
خستگی و فرسودگی: کمبود انرژی مداوم.
کمردرد: در صورتی که تومور به نخاع گسترش یافته باشد، ممکن است رخ دهد.
بیاختیاری ادرار یا مدفوع: از دست دادن کنترل بر عملکرد مثانه یا روده.
اگر شما یا فرزندتان ترکیبی از این علائم مداوم را تجربه میکنید، بسیار مهم است که به یک متخصص مغز و اعصاب مراجعه کنید.

علت دقیق مدولوبلاستوما هنوز به طور کامل مشخص نشده است. با این حال، مشخص شده است که این بیماری زمانی ایجاد میشود که سلولهای مخچه دچار تغییرات (جهش) در DNA خود میشوند. این جهشها چرخه طبیعی زندگی سلول را مختل کرده و به سلولها دستور میدهند تا به طور غیرقابل کنترلی رشد و تکثیر کنند و یک تومور را تشکیل دهند.
درحالیکه بیشتر موارد به صورت پراکنده رخ میدهند، برخی عوامل ژنتیکی و سندرمهای ارثی خطر ابتلا به مدولوبلاستوما را افزایش میدهند. این موارد عبارتند از:
سندرم گورلین (Gorlin Syndrome) یا سندرم کارسینوم سلول بازال نووئید (NBCCS): یک بیماری ارثی که خطر ابتلا به سرطانهای مختلف را افزایش میدهد، از جمله ۵٪ احتمال ابتلا به مدولوبلاستوما.
سندرم تورکوت (Turcot Syndrome): یک بیماری نادر که با وجود سرطان روده بزرگ همراه با یک تومور سیستم عصبی مرکزی، مانند مدولوبلاستوما، مشخص میشود.
سندرم لی-فرامنی (Li-Fraumeni Syndrome): اختلالی که به طور قابل توجهی خطر ابتلا به طیف وسیعی از سرطانها، از جمله تومورهای مغزی را افزایش میدهد.
جهشهای ژن BRCA1: واریانتهای ارثی در این ژن که به دلیل ارتباطش با سرطان پستان شناخته شده است، میتواند خطر ابتلا به سایر سرطانها از جمله مدولوبلاستوما را نیز افزایش دهد.
سندرمهای دیگر: شرایطی مانند کمخونی فانکونی (Fanconi Anemia) و سندرم روبینشتاین-طیبی (Rubinstein-Taybi Syndrome) نیز با خطر بالاتر مرتبط بودهاند.

تشخیص مدولوبلاستوما شامل یک فرآیند چندمرحلهای برای تأیید وجود تومور و تعیین ویژگیهای آن است. پزشک معمولاً موارد زیر را انجام میدهد:
۱. معاینه عصبی (Neurological Exam): ارزیابی دقیق بینایی، شنوایی، تعادل، هماهنگی و رفلکسها برای شناسایی اینکه کدام بخش از مغز ممکن است تحت تأثیر قرار گرفته باشد.
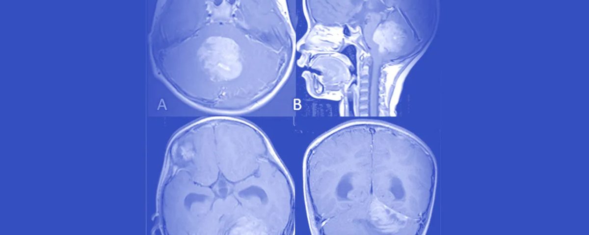
۲. آزمایشهای تصویربرداری: تصویربرداری رزونانس مغناطیسی (MRI) و اسکن توموگرافی کامپیوتری (CT) برای ایجاد تصاویر دقیق از مغز و مکانیابی هرگونه تومور استفاده میشوند.
۳. بیوپسی یا برداشتن با جراحی (Biopsy): در بیشتر موارد، یک نمونه بافت در حین جراحی برای برداشتن تومور گرفته میشود. سپس یک آسیبشناس سلولها را زیر میکروسکوپ بررسی میکند تا تشخیص مدولوبلاستوما را تأیید کند. بیوپسی معمولاً تنها در صورتی انجام میشود که تستهای تصویربرداری قطعی نباشند.
۴. پونکسیون کمری (Spinal Tap/Lumbar Puncture): نمونهای از مایع مغزی-نخاعی از قسمت پایین کمر گرفته شده و برای وجود سلولهای سرطانی آزمایش میشود. این آزمایش برای تعیین اینکه آیا سرطان گسترش یافته است یا خیر، بسیار مهم است و معمولاً پس از برداشتن تومور یا کنترل فشار در مغز انجام میشود.
درمان مدولوبلاستوما به عوامل متعددی از جمله سن بیمار، سلامت کلی و اینکه آیا سرطان گسترش یافته است، بستگی دارد. یک تیم چندرشتهای از متخصصان — شامل جراحان مغز و اعصاب، انکولوژیستهای پزشکی و انکولوژیستهای پرتودرمانی — یک برنامه درمانی شخصیسازیشده ایجاد میکنند. رویکرد استاندارد شامل ترکیبی از موارد زیر است:
جراحی : هدف اصلی، برداشتن ایمن هرچه بیشتر تومور است. این کار به کاهش فشار در مغز نیز کمک میکند. اگر تومور در نزدیکی ساختارهای حیاتی مغز قرار داشته باشد، برداشتن کامل آن همیشه ممکن نیست.
پرتودرمانی : از پرتوهای پرانرژی برای از بین بردن سلولهای سرطانی باقیمانده پس از جراحی استفاده میشود. این بخش استاندارد درمان برای اکثر بیماران است و اغلب کل مغز و نخاع را هدف قرار میدهد تا هرگونه گسترش احتمالی را از بین ببرد.
شیمیدرمانی : داروهای قدرتمندی برای از بین بردن سلولهای سرطانی در سراسر بدن تجویز میشوند. شیمیدرمانی ممکن است پس از جراحی و پرتودرمانی، یا گاهی اوقات به صورت ترکیبی با پرتودرمانی انجام شود. در برخی از کودکان بسیار خردسال، ممکن است از شیمیدرمانی با دوز بالا و به دنبال آن پیوند سلولهای بنیادی برای جلوگیری یا به تأخیر انداختن پرتودرمانی استفاده شود.
زمان بهبودی متفاوت است؛ بهبودی پس از جراحی معمولاً چهار تا هشت هفته طول میکشد، در حالی که درمانهای شیمیدرمانی و پرتودرمانی میتوانند چندین ماه ادامه داشته باشند.
مدولوبلاستوما در طول سالها به طور قابل توجهی بهبود یافته است. برای بسیاری از بیماران، به ویژه اگر سرطان گسترش نیافته باشد، درمان کامل امکانپذیر است. به طور کلی بهتر است که تومور به طور کامل با جراحی برداشته شود و به سایر بخشهای سیستم عصبی مرکزی گسترش نیافته باشد. مراقبتهای پیگیری مداوم برای نظارت بر هرگونه عود یا عوارض جانبی طولانیمدت درمان ضروری است.